La investigación conjunta de Care Creations® de BASF y CTIBiotech está a punto de alcanzar un nuevo hito. Los socios de la cooperación anuncian el desarrollo de los primeros modelos de piel bioimpresa en 3D, incluidos los macrófagos inmunes. Los modelos de tejidos reconstruidos serán la base para el desarrollo y la prueba de bioactivos destinados a aplicaciones en el cuidado de la piel.
El uso de la tecnología de bioimpresión en 3D de CTIBiotech permitirá a los científicos de BASF aumentar su cartera de modelos de piel bioimpresa en 3D. La tecnología proporcionará una plataforma poderosa para los investigadores del cuidado de la piel que deseen estudiar la función de los macrófagos en una piel totalmente reconstruida.
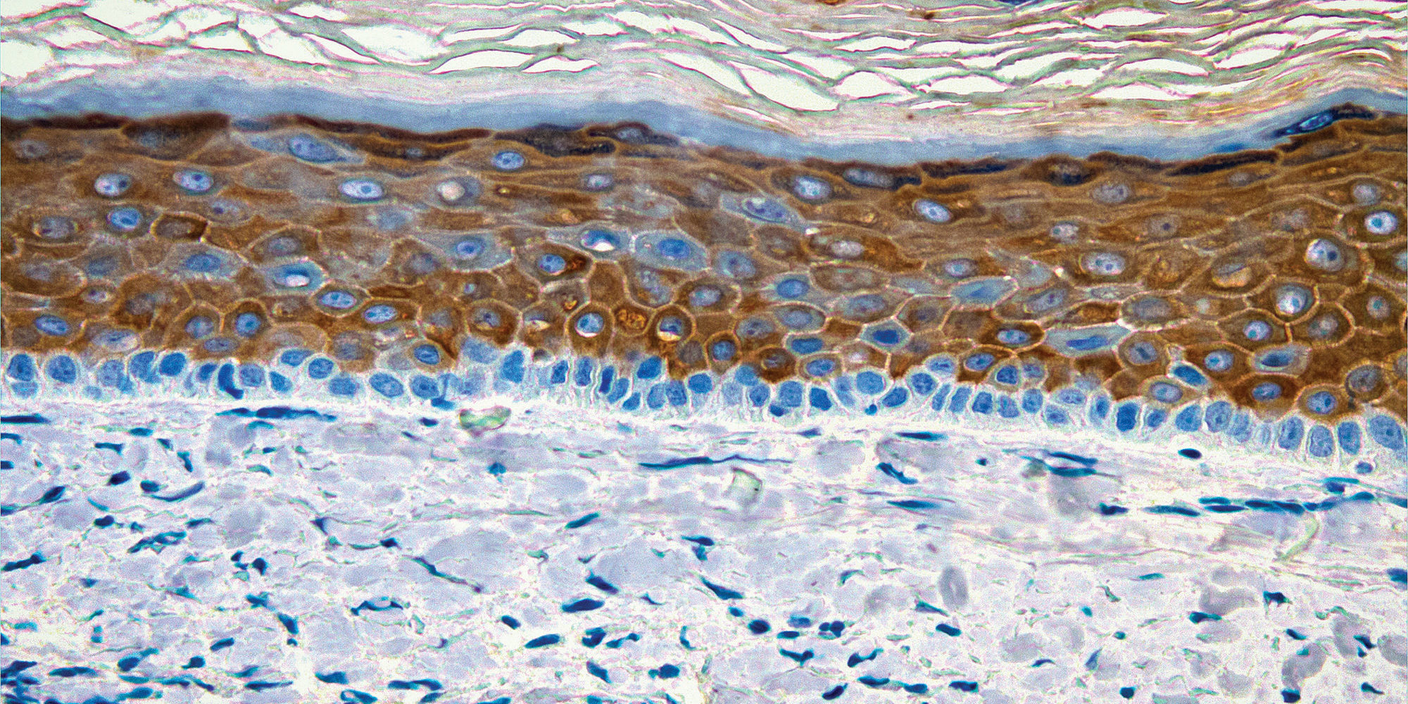
Los macrófagos supervisan constantemente el microambiente de la piel para detectar indicios de estrés celular, lesión o infección tisular. Son esenciales para cicatrizar las heridas y regenerar completamente el tejido. Con el fin de mantener la homeostasis de la piel, los macrófagos tienen un alto grado de plasticidad que promueve o suprime la inflamación.
“En comparación con los métodos in vitro actuales, la piel inmune bioimpresa en 3D desarrollada con CTIBiotech permitirá un análisis más acorde con la fisiología humana y el papel inmune de los macrófagos”, indicó Sébastien Cadau, especialista en ingeniería de tejidos en 3D de la planta de BASF en Lyon, Francia. “Así es como la tecnología nos va a ayudar a acelerar el desarrollo de principios innovadores y muy fiables para el mercado del cuidado de la piel. Nuestra comprensión de una piel inmunocompetente en 3D proporciona la base para desarrollar y probar bioactivos cosméticos avanzados destinados a aplicaciones en el cuidado de la piel”.
BASF y CTIBiotech comenzaron su cooperación ya en 2011. En 2015, los socios de investigación comenzaron a trabajar en modelos de tejidos en 3D para el desarrollo y la prueba de bioactivos destinados a aplicaciones en el cuidado de la piel. En 2018, anunciaron los primeros resultados: los expertos demostraron tanto la producción ex vivo de sebo fisiológico en un cultivo a largo plazo de un modelo en 3D de glándula sebácea humana, como la regulación de esta producción de sebo mediante principios activos.
“CTIBiotech y BASF cuentan con un largo historial de colaboraciones en modelos innovadores de piel humana para avanzar en el cuidado de la piel humana”, comentó el Profesor Colin McGUCKIN, Director Científico de CTIBiotech. “CTIBiotech acoge un equipo de expertos mundiales en ingeniería de tejidos humanos con tecnología de bioimpresión en 3D que reforzará el éxito de esta asociación también en el futuro”.

